immunohistochemistry
Home
About Us
Content
Forum
Photo Gallery
Guest Book
Contact
Antigens
8-OHdG
8-OHdG 8OHDG
Actin (Sarcomeric) / Sarcomeric actin
Sarcomeric actin
AE1-AE3 pan cytokeratin
img1
aSMA (alpha smooth muscle actin)
aSMA
aSMA 2
SMA_3
Asprosin
asprosin
B-catenin
B-catenin (beta catenin)
BCL2 - BCL-2
BCL2 - BCL-2
BSE
BSE - Deli Dana hastalığı
BVD-MD (Bovine Viral Diarrhea - Mucosal Disease)
BVD-MD
Cadherin
img1
Canine Distemper Virus
CDV_2
CDV
CD3
img1
img2
CD20
img1
img2
img3
CD31 (PECAM 1)
img1
img2
CD56 (NCAM-1)
CD56 (NCAM-1) Neural cell adhesion molecule
CD68
CD68
CD79a
img1
CD117 (C-Kit - KIT)
img1
img2
img3
CEA
img1
Chlamydia psittaci ( Chlamydophila abortus )
Chlamydia psittaci ( Chlamydophila abortus )
Chromogranin A
Chromogranin A
Chromogranin A
Chromogranin A
Cleaved Caspase 3
img1
img2
Collagen iii (Collagen 3)
Collagen III
Cryptosporidium spp
img 1
Cytokeratin 5
cytokeratin 5
Cytokeratin 7
img1
Dog1
Dog1
Desmin
desmin
E-cadherin
E-cadherin
Endothelin 1
Endothelin-1
Feline infectious peritonitis virus (fip, FIP) Kedilerin enfeksiyöz peritonitis hastalığı Coronavirus, Koronavirus
Feline infectious peritonitis (FIP, fip)
Feline Leukemia Virus (FLV, FeLV), Kedi Lösemi Virusu
Felv
GATA-4
GATA4
GFAP
gfap
gfap 3
gfap 2
Hif1-alpha
img1
HSP70 (Heat shock protein 70)
HSP70_1
HSP70_2
HSP70_3
IBA1 - iba1
IBA1 - iba1
Insulin
insulin
Ki-67
img1
Ki67
Listeria spp
Listeria
LYVE1
Lyve1
MUC5AC (mucin 5)
img1
MSA
MSA_1
MSA_2
Myeloid/histiocyte antigen
img1
Myogenin
myogenin
Myosin (Skeletal Muscle Specific)
Myosin (skeletal muscle spesific)
eNOS
eNOS
iNOS
img1
img2
NSE (neuron specific enolase)
img1
p53
img1
Pan cytokeratin (coktail)
Pancytokeratin
PCNA
pcna_1
Placental alkaline phosphatase (PLAP)
PLAP
Podoplanin (d2-40)
img1
S-100
img1
img2
S100A6
SOX-10
Sox-10
Spirochaetes (spiroket)
img1
Toxoplasma Gondii
Toxoplasma gondii
Toxoplasma gondii
Uroplakin III (UP3, UPIII)
Uroplakin III, UP3, UPIII
VEGF
VEGF
Vimentin
vim
vim1
vim2
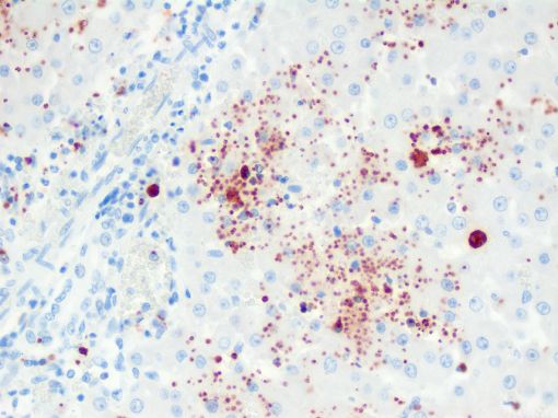
Toxoplasma gondii
toksoplasmosis,
Toxoplasma gondii , liver
Karaciğerde
Toxoplasma gondii
protozoonları
Special Histochemical Stains
Picro Sirius Red
img1
img2
Toluidine blue
img1
Warthin Starry
img1
Ziehl–Neelsen (acid-fast) Stain
img1
img2
ZN3
Masson's Trichrome (standard type)
3c_1
3c_2
Prussian blue reaction for iron
Prussian blue for iron
Double immunohistochemistry
FLV+CD20
FLV+CD20
Time
Visitors
Aktif Ziyaretçi
2
Bugün Toplam
67
Toplam Ziyaret
78550